Dental Technologies We Use

We take pride in using advanced and proven dental technologies to make your experience in our office as beneficial and pain-free as possible. From advanced imaging techniques to laser dentistry, here are a few examples of the many modern dental technologies we use in our office.
Digital X-rays
Image

Digital X-rays use less radiation than traditional X-rays, and provide high-resolution images of your teeth and jaws. Because they provide highly-detailed images, digital X-rays are a vital tool for detecting early signs of oral cancer, tooth decay, and infection.

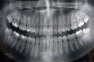
Panoramic X-Rays
Image

Panoramic X-rays allow us to take a full-width image of your entire jaw, allowing us to see your full mouth in one picture. They are valuable for assessing the growth of adult and wisdom teeth, placing dental implants, and assessing bone health.

About Us
We're proud to provide excellence in professional, dedicated care and preventive education to patients of all ages in a friendly, spacious, and airy environment.
Address

Elegance Dental Centre 
Adress: 138 Bedford Hwy Halifax, NS B3M 0A3 
Phone: (902) 453 9999 
Fax: (902) 453 6854 
info@elegancedental.ca

Follow Us
© 2015-2025 | Dr. Wasan Al-Saadi | design by: Design Your Way