Complete Dental Services!

We are dedicated to providing you with all the dental care you need under one roof. From general dentistry, cosmetic dentistry, teeth whitening, dental implants, and much more. We can meet all of your dental needs no matter what they are. Our Services are:

Emergency

With dental injuries, especially broken or knocked-out teeth, it’s very important to get emergency care right away. Teeth can sometimes be saved if you get to a dentist quickly after they are injured. If you have a dental emergency, Contact Us as soon as you can and we’ll do our best to see you that day.

Image

Preventative Hygiene

Check-ups
Image

Going to the dental office for regular checkups will be one of the most effective ways to keep your teeth and gums healthy. By a close examination and cleaning your dental professional will be able to detect early signs of tooth decay or damage to the gums.

Scaling
Image

Dental scaling is the most common nonsurgical way to treat gum disease, which is also known as periodontitis.

If your disease is moderate, but not severe, your dentist may recommend scaling to treat the disease and keep it from getting worse. But if you have severe periodontal disease and your condition may require gum surgery, your dentist and periodontist may recommend a scaling and root planing before the surgery, as well as a thorough teeth-cleaning prior to the procedure.

Sealants
Image

Sealants are highly effective in preventing decay by placing a tooth-colored acrylic coating on the biting surfaces of your teeth. This effectively “seals” the deep grooves acting as a barrier, protecting enamel from plaque and acids. Sealants protect the depressions and grooves of your teeth from food particles and plaque that brushing and flossing can’t reach. Easy to apply, sealants take only a few minutes to seal each tooth. Sealants hold up well under the force of normal chewing and can last several years before a reapplication is needed.  Children and adults can benefit from sealants in the fight against tooth decay.

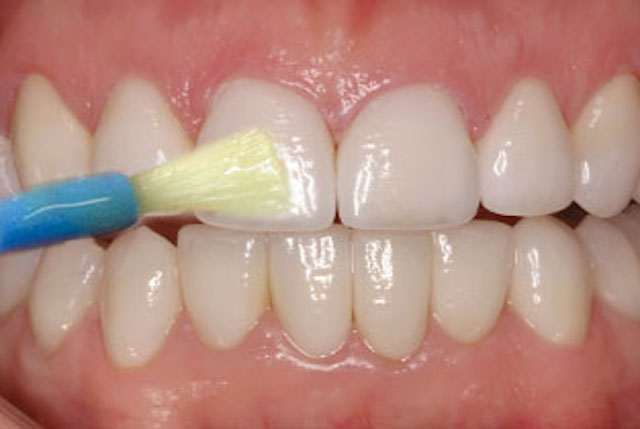
Fluoride Treatment
Image

Tooth decay is caused by certain bacteria in the mouth. When a person eats sugar and other refined carbohydrates, these bacteria produce acid that removes minerals from the surface of the tooth. Fluoride helps to remineralize tooth surfaces and prevents cavities from continuing to form.

If you have a good chance of getting cavities, your dentist can apply fluoride directly to your teeth during your dental visit with a gel, foam or rinse.

Oral Hygiene
Image

To have good dental health, you need a mix of personal Flossing and Brushing dental care, and the care of your dentist.

Flossing removes plaque and bacteria that you cannot reach with your toothbrush. If you don’t floss, you are missing more than one-third of your tooth surface. Plaque is the main cause of gum disease. It is an invisible bacterial film that develops on your teeth every day.Within 24 to 36 hours, plaque hardens into tartar (also called calculus), which can only be removed by professional cleaning. Floss at least once a day, and plaque never gets the chance to harden into tartar.

Restorative Treatment

Restoration
Image

A dental restoration or dental filling is a dental restorative material used to restore the function, integrity and morphology of missing tooth structure. The structural loss typically results from caries or external trauma. It is also lost intentionally during tooth preparation to improve the aesthetics or the physical integrity of the intended restorative material. Dental restoration also refers to the replacement of missing tooth structure that is supported by dental implants.

Dental restorations can be divided into two broad types: direct restorations and indirect restorations. All dental restorations can be further classified by their location and size. A root canal filling is a restorative technique used to fill the space where the dental pulp normally resides.

Fillings
Image

A filling is a way to restore a tooth damaged by decay back to its normal function and shape. First we remove the decayed tooth material, cleans the affected area, and then fills the cleaned out cavity with a filling material.

For cracked or lost fillings a piece of softened sugarless chewing gum can be placed over the damaged area to provide protection until you can get treatment.


If you are unable to reach our office for your dental emergency, please go to the emergency room at the nearest hospital.

Crowns
Image

A crown is a covering that is placed over a tooth that has been damaged or decayed to an extent where a filling will not suffice. The tooth is prepared by removing any decayed area and shaping the tooth to be capped. The crown is then cemented in place to protect the tooth for years to come.

Crowns are also used to reinforce a tooth that has been badly cracked or broken, as well as to seal a tooth after root canal therapy.

Root Canal Treatment

Image

A root canal is a procedure that removes infected pulpal tissue from the central part of the tooth. The dentist then reshapes the canal and replaces it with strengthening filler. This procedure is done to eliminate infection and pain due to the infected pulpal tissue, while preserving the tooth structure.  Teeth will then require a permanent restoration like a crown to preserve the tooth.

Prosthodontics (missing teeth replacement)

Implant Restoration
Image

If you are self-conscious because you have missing teeth, wear dentures that are uncomfortable or don’t want to have good tooth structure removed to make a bridge, talk to your dentist to see if dental implants are an option for you.

Dental implants are a popular and effective way to replace missing teeth and are designed to blend in with your other teeth. They are an excellent long-term option for restoring your smile. In fact, the development and use of implants is one of the biggest advances in dentistry in the past 40 years. Dental implants are made up of titanium and other materials that are compatible with the human body. They are posts that are surgically placed in the upper or lower jaw, where they function as a sturdy anchor for replacement teeth.

Dentures
Image

Dentures and partial dentures are artificial teeth used to fill in the spaces created by missing teeth. They can be made by different materials, often hardened porcelain and acrylic resin as well as cast metal in some instances. They are made to look as natural as possible. Partial dentures replace missing teeth and anchor onto existing teeth for support. Dentures can be created when all of the teeth are missing.  Aside from aesthetic appearance, dentures and partial dentures will help a patient with chewing, normal speech, facial muscle support, in the case of partials, help avoid the shifting of surrounding teeth.

Bridges

Image

A bridge is a dental device that uses adjoining teeth as anchors to hold an artificial tooth in the place of a missing one. Bridges can be used to replace one or multiple missing permanent teeth in order to avoid more serious problems, such as shifting, bone loss and periodontal disease.

Orthodontic Treatment

Invisalign
Image

From mild cases of crooked teeth and protruding teeth, to much more difficult dental problems involving serious malocclusion, overbite, or underbite, Invisalign®effectively corrects a wide variety of dental problems. Whether your teeth are widely gapped, overly crowded or somewhere in between, Invisalign has an affordable teeth straightening option for you.

Braces
Image

A metal or ceramic dental base is affixed to each tooth, and a dental wire is inserted through each base. The orthodontist is able to gradually train the teeth into proper alignment by regularly adjusting the wire. When the desired results are achieved, the fixed dental braces are completely removed.

Cosmetic Treatments

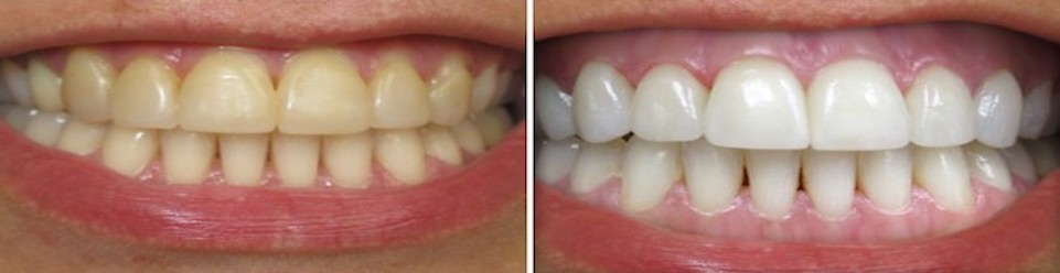
Teeth Whitening
Image

Whitening is a mild bleaching process that restores stained or discolored teeth to a healthy, natural color, and is very safe under the supervision of a dental professional. The results from whitening can last for as long as a year and with touch-ups treatments (at home) every few months results can last even longer. “Touch-ups” are especially useful for patients that drink beverages that are prone to stain teeth, such as coffee, tea and red wine. Custom made bleaching trays are available at Elegance Dental Centre.

Veneers
Image

Porcelain veneers are thin shells of ceramic that bond directly to the front and top surfaces of the teeth. They are an ideal choice for improving your smile and have become increasingly popular due to their simplicity and versatility. With veneers as an alternative, there is no reason to put up with gaps between your teeth, teeth that are stained, badly shaped or crooked. A veneer placed on top of your teeth can correct these problems, simply and quickly, to help you achieve a beautiful smile.

Other Treatments

Oral Surgery
Wisdom Tooth Removal
Image

Wisdom teeth can become impacted or trapped beneath the gums and sometimes they may emerge only partially. Impacted or partially erupted wisdom teeth can cause problems if left untreated. Partially erupted wisdom teeth can create an opening around the tooth that allows bacteria to grow, causing infection, swelling and pain.

Night and Sports Guard
Custom Mold
Image

Bruxing is the unintentional grinding together of your teeth. Most people do not even know that they are doing it because they are sleeping or concentrating on some activity. Elegance Dental Centre offers the fabrication of custom bite planes to prevent the constant grinding and damage to occlusal tooth structures.

Anyone who participates in a sport that carries a significant risk of injury should wear a mouth protector. This includes a wide range of sports like football, hockey, basketball, baseball, gymnastics, and volleyball. Mouth protectors, which typically cover the upper teeth, can cushion a blow to the face, minimizing the risk of broken teeth and injuries to the soft tissues of the mouth. If you wear braces or another fixed dental appliance on your lower jaw, your dentist may suggest a mouth protector for these teeth as well.

Call us to book your appointment
About Us
We're proud to provide excellence in professional, dedicated care and preventive education to patients of all ages in a friendly, spacious, and airy environment.
Address

Elegance Dental Centre 
Adress: 138 Bedford Hwy Halifax, NS B3M 0A3 
Phone: (902) 453 9999 
Fax: (902) 453 6854 
info@elegancedental.ca

Follow Us
© 2015-2025 | Dr. Wasan Al-Saadi | design by: Design Your Way